Acasă > Stiri Botosani > Medic botoșănean, semnal de alarmă pentru femei: Boala nu vă întreabă dacă sunteți pregătită / Lăsați deoparte rușinea! - FOTOGALERIE

Medic botoșănean, semnal de alarmă pentru femei: Boala nu vă întreabă dacă sunteți pregătită / Lăsați deoparte rușinea! - FOTOGALERIE

Un control de rutină scoate uneori la iveală boli grave, care chiar dacă nu dor, evoluează tăcut până în pragul dezastrului.

 

Dr. Alexandra Ciobanu, de la Spitalul Municipal Dorohoi, atrage atenția asupra faptului că multe femei își neglijează sănătate, cele mai multe refuzând să facă un control atâta timp cât nu semnalează în corp nicio durere. Când boala este depistată, însă, uneori este prea târziu pentru ca viața să mai poată fi salvată.

 

Cazul pe care medicul dorohoian l-a adus în atenție este al unei paciente care s-a prezentat pentru un “consult de rutină”, la insistențele familiei.

 

”Vi-l prezint pentru a vă reaminti că întotdeauna este mult mai ușor să prevenim decât să tratăm, și că este important să nu vă neglijați sănătatea. Mergeți la consultații periodic sau atunci când vi se pare că nu sunteți bine, nu amânați, deoarece sănătatea este cea mai de preț”,

Dr. Alexandra Ciobanu

 

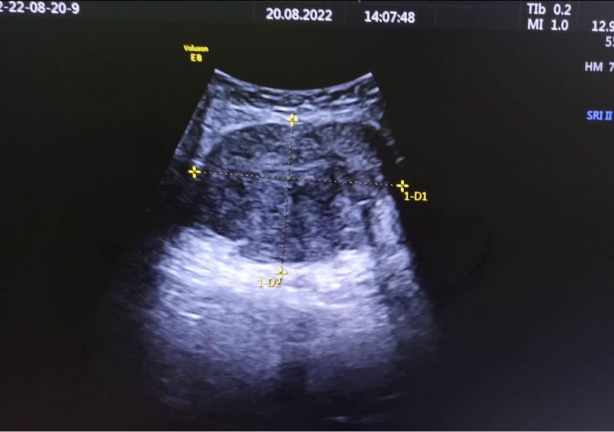
Pacienta are 54 ani și nu a declarat afecțiuni medicale în istoric. Inspecția și palparea abdominală au evidențiat o formațiune solidă, localizată suprapubian, care deforma pielea, de dimensiunea unui pumn, și durea la atingere și mărirea de volum a abdomenului în totalitate, până deasupra ombilicului, de consistență dură și sensibil la palpare.

 

”Ecografic am depistat o formațiune chistica cu multe septuri la nivelul ovarului drept, de aproximativ 20 cm, cu prezență de lichid liber în burtă și o altă formațiune cu caracter solid și vascularizație intensă localizată subcutanat la nivel suprapubian, de aproximativ 7 cm”,

Dr. Alexandra Ciobanu

 

Pacienta a fost îndrumată cu toate investigațiile efectuate către Institutul Oncologic Cluj Napoca pentru conduită terapeutică, unde au fost îndepărtate ambele formațiuni și trimise la examenul histopatologic.

 

”Solicitați ajutor medical atunci când depistați ceva anormal, lăsați deoparte rușinea, boala nu vă întreabă dacă sunteți pregătită și uneori, când începe să vă supere, este destul de târziu și resursele terapeutice sunt limitate”,

Dr. Alexandra Ciobanu

 

 

Abonează-te, citește Botosaneanul.ro fără reclamă și comentează cât vrei

Autentificare