Acasă > Stiri Botosani > David are nevoie de noi: Fiecare euro înseamnă un pas spre vindecare

David are nevoie de noi: Fiecare euro înseamnă un pas spre vindecare

David are nevoie de noi: Fiecare euro înseamnă un pas spre vindecare

Ajută-l pe David să se opereze pentru ca viața lui să nu fie pusă în pericol. 

 

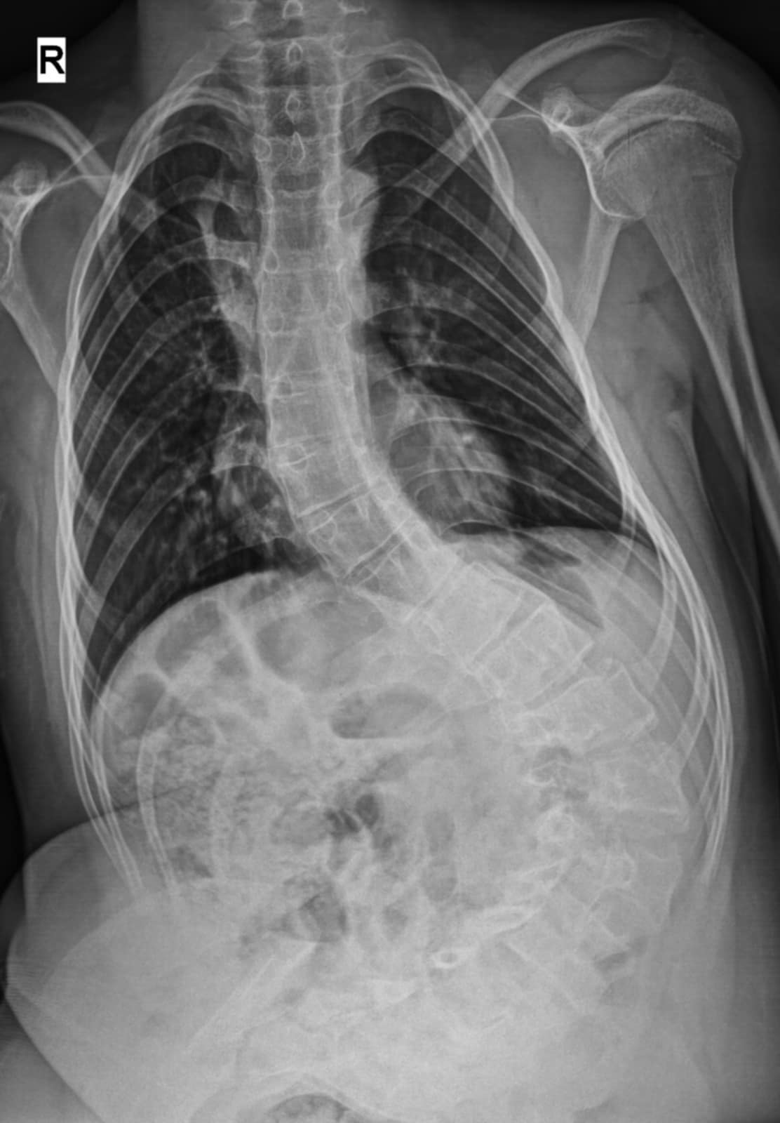
Băiatul a fost diagnosticat cu scolioză severă cu unghi Cobb de 100 grade

 

Are nevoie urgent de 50.776 de euro. Dacă inima ta simte durerea lui David, ajută-l. 

 

 

Ajută-l să mai poată râde, să mai poată fi copil, a transmis Asociația Salvează o Inimă. 

 

Donații se pot face:

Denumire entitate: Asociația „SALVEAZĂ O INIMĂ”

Cod de înregistrare fiscală: 31015982

CONT RON RO94RNCB0041182104010001

CONT EURO RO67RNCB0041182104010002

Codul SWIFT/BIC pentru Banca Comercială Română (BCR) este RNCBROBUXXX

Vă rugăm să specificați în transferul bancar, la detaliile plății, numele DAVID TRUTA

 

 

 

 

 

 

 

 

 

Abonează-te, citește Botosaneanul.ro fără reclamă și comentează cât vrei

Autentificare