Acasă > Stiri Botosani > Botoșănean criminal la un pas de moarte după ce iubita i-a înfipt cuțitul în spate

Botoșănean criminal la un pas de moarte după ce iubita i-a înfipt cuțitul în spate

Unui botosănean i s-a plătit cu aceeași monedă fiind lovit de către concubina sa cu un cuțit.

 

Procurorii Parchetului de pe lângă Tribunalul Suceava au anunţat trimiterea în judecată a unei femei din Arbore care şi-a înjunghiat concubinul în luna iunie a acestui an, bărbatul ajungând la Spitalul Judeţean Suceava cu un cuţit înfipt în spate şi fiind operat pentru a-i putea fi extrasă lama înfiptă adânc. Fapta a fost încadrată la infracţiunea de violenţă în familie, cu referire la tentativă de omor, femeia, Luminiţa Covaci, aflându-se acum după gratii, arestată preventiv. 

 

După cercetări mai amănunţite, procurorii au aflat că în urmă cu 13 ani bărbatul înjunghiat acum a comis un omor, victimă fiind un tânăr din Suceviţa la care concubina sa se mutase. 
Inclusiv concubina a fost agresată atunci, bărbatul declarând în faţa anchetatorilor ulterior că îi părea rău că nu a ucis-o pe ea.


 
Părăsit de femeia cu care are trei copii

 

Faptele reprobabile petrecute la 13 ani distanţă au în prim-plan o familie dezorganizată, în care consumul de alcool a fost la ordinea zilei.
Inculpata Luminiţa Covaci, în vârstă de 45 de ani, din Clit - Arbore, femeia trimisă acum în judecată pentru tentativă de omor, se află în relaţii de concubinaj cu Neculai Feghiu, acum în vârstă de 53 de ani, din comuna Avrămeni, judeţul Botoşani, dar domiciliat fără forme legale la Arbore, din anul 1989. Cei doi nu au fost căsătoriţi niciodată, dar au împreună trei copii.

 

Procurorii au arătat în rechizitoriul de trimitere în judecată că în cursul anului 2003 femeia, care era deja mamă a trei copii, a plecat din casa în care locuia cu Feghiu şi s-a mutat la Suceviţa, la un alt bărbat cu care începuse o relaţie.


 
L-a înjunghiat în inimă pe iubit, iar femeii i-a tăiat părul

 

Pe 20 martie 2004, Neculai Feghiu s-a dus la Suceviţa după „femeia sa”, având asupra lui un cuţit. Bărbatul a intrat în casă şi l-a înjunghiat în inimă pe iubitul concubinei sale. La vremea respectivă, presă a relatat cazul pe larg.

 

Luminiţa Covaci se mutase la Suceviţa împreună cu una dintre fiice, în vârstă de 15 ani. Cele două începuseră o relaţie cu doi fraţi, care stăteau în aceeaşi casă.

 

Turbat de furie, Neculai Feghiu şi-ar fi găsit femeia în pat cu iubitul din Suceviţa. Bărbatul din Suceviţa, Viorel Ioan Cazac, în vârstă de 25 de ani, a pus mâna pe un topor, însă nu a mai apucat să-l folosească, fiind înjunghiat în inimă de Neculai Feghiu. Drept pedeapsă, bărbatul i-a tăiat atunci femeii părul cu cuţitul, declarând ulterior în faţa anchetatorilor că îi pare rău că nu a ucis-o pe ea, în locul bărbatului.

 

Neculai Feghiu a fost prins imediat de poliţişti şi trimis în judecată de procurorii Parchetului de pe lângă Tribunalul Suceava pentru omor calificat şi violare de domiciliu. El a rămas după gratii, în baza condamnării pe care a primit-o, până la finele anului 2009, când a fost eliberat condiţionat.


 
Din penitenciar, a revenit acasă, la concubină 

 

Revenit acasă, din penitenciar, bărbatul s-a întors la Clit - Arbore, la femeie cu care are trei copii.

 

„Din probele administrate în prezenta cauză penală a rezultat că cei doi concubini au continuat şi în această perioadă să consume individual sau împreună cantităţi mari de băuturi alcoolice, iar pe acest fond între ei surveneau permanent incidente violente sau doar verbale, în repetate rânduri bărbatul reproşându-i inculpatei că datorită atitudinii sale el a fost să omoare o altă persoană şi să stea apoi la puşcărie”,

se arată într-un comunicat al Parchetului de pe lângă Tribunalul Suceava.   


 
Femeia i-a înfipt cuţitul în spate


Pe acest fond, pe 11 iunie 2017, ambii fiind în stare de ebrietate, Neculai Feghiu a fost înjunghiat în spate de concubina sa.

 

Femeia a sunat la 112, afirmând în mod mincinos că o persoană necunoscută l-a înjunghiat pe concubinul său în timp ce acesta se afla în curtea casei lor. Astfel, iniţial, judiciariştii

 

Serviciului de Investigaţii Criminale au fost duşi pe o pistă falsă. În primă fază, concubinul nu a vrut să spună cum s-a petrecut agresiunea, fiind posibil ca nici măcar să nu-şi fi adus aminte din cauza stării de ebrietate.

 

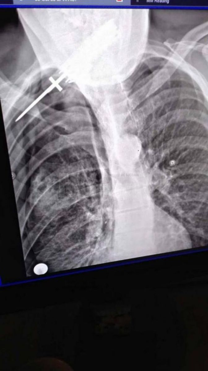
Neculai Feghiu a ajuns la Spitalul Judeţean Suceava cu cuţitul înfipt în spate. Leziunea a fost gravă, bărbatului fiindu-i afectat un plămân (pneumotorax şi hemotorax). Medicii legişti au stabilit că leziunile suferite de bărbat au necesitat 22-23 de zile de îngrijiri medicale.

 

Având în vedere modul în care a fost comisă fapta, procurorul criminalist a dispus ca inculpata, Luminiţa Covaci, să fie trimisă în judecată pentru violenţă în familie, sub forma tentativei de omor. Procesul va începe la Tribunalul Suceava.  

 

(Sursa Monitorul de Suceava)

 


 

download from google play download from apple store

Abonează-te, citește Botosaneanul.ro fără reclamă și comentează cât vrei

Autentificare